Posting some interesting topics to get the group to think about these challenging cases. Please send other case vignettes to PVH for posting here. Here are some vignettes of patients that might stimulate discussions:
Severe myopic macular schisis with shallow macular RD and macular hole.
54 YO BM w -20d myope, lost central vision OD years ago from atrophic macular atrophy due to severe macular staphiloma, now the OS is starting to do the same. What are the options? Macular buckling? Vitrectomy with gas or oil? What does chronic eye rubbing have to do with it?

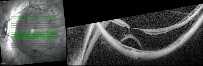
Bullous retinochisis with associated RRD S/P SB.
70 yo WF S/P SB w cryo OD in 2014 with 20/100, PH 80 Va, chronic minimal SRF that is not progressive but now increasing atrophic choroidal changes causing decreased vision and chronic RPE change in the area of SRF. Pt refuses further surgery as the vision is much better than originally and she is comfortable. Multiple recent surgeries in the rest of the body chasing the Dx of cancer that have not panned out (all negative for CA) is probably the cause of the desire for no further surgery on the eye. The other eye has macular schisis but no SRF. What are the options/risks/probable outcomes?

Multiple microaneurysms, edema and capillary damage in a non diabetic.
77 you WM with a chronic Hx of multiple microaneurysms, advanced edema and capillary damage in one eye and the other is normal. No diabetes, mild HTN. Treated with anti VEGF and focal laser over the years sucessfully but keeps returning with new areas of leakage and new MA’s. Diagnosis and treatment options?

