Here are a preview of images for the next cases THAT WERE discussed at the NCRC meeting on Zoom Saturday 4/24/21 12:30pm.
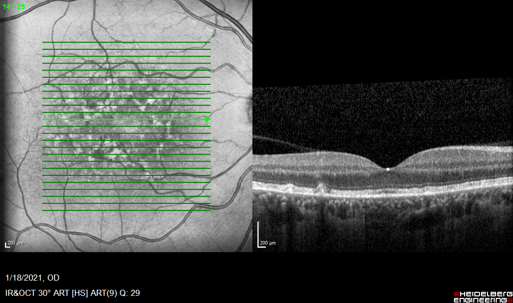
Case#1-PVH
Slowly progressive vision loss in a patient with MS.
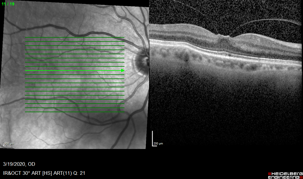
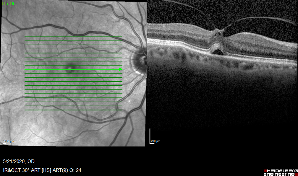
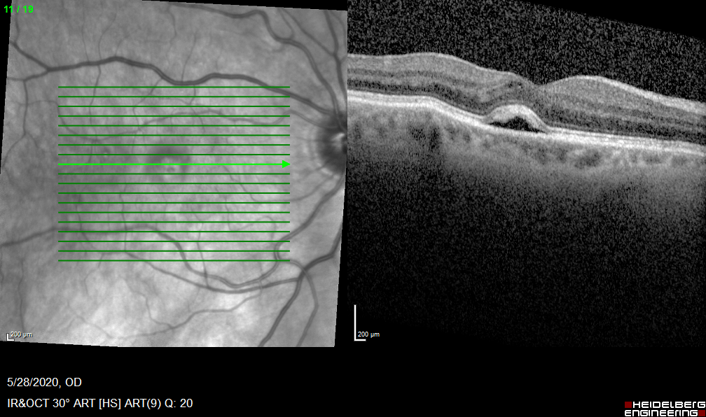
Case#2-PVH
Bilateral Macular holes. When to operate?
Come and join us for the fun at the next Retina Club Zoom Meeting! GET YOU CASES READY AND SEND ME AN EMAIL WITH THE TITLE, I WILL PUT YOU ON THE AGENDA.
SATURDAY April 24, 2021 on ZOOM (Past)
See the meeting synopsis to see the presentations HERE.
Invitations have been sent out by email, if you did not get one, please contact us now.
















